تجربتي مع التهاب اللثة
تجربتي مع التهاب اللثة كانت تجربة تعليمية مهمة في حياتي. في البداية، شعرت بألم خفيف ونزيف عند تفريش أسناني، مما دفعني إلى البحث عن الأسباب المحتملة. بعد زيارة طبيب الأسنان، تم تشخيص حالتي على أنها التهاب لثة، وهو حالة شائعة تحدث نتيجة تراكم البلاك على الأسنان.
تلقيت نصائح حول كيفية تحسين عادات النظافة الفموية، بما في ذلك استخدام فرشاة أسنان ناعمة وخيط الأسنان بانتظام. بدأت أيضًا في استخدام غسول فم مضاد للبكتيريا للمساعدة في تقليل الالتهاب. على الرغم من أن العلاج كان يتطلب بعض الوقت والجهد، إلا أنني لاحظت تحسنًا ملحوظًا في صحة لثتي.
هذه التجربة علمتني أهمية العناية الفموية المنتظمة والزيارات الدورية لطبيب الأسنان، حيث أن الوقاية هي المفتاح للحفاظ على صحة الفم.

ما هو التهاب اللثة
التهاب اللثة هو مرض يصيب اللثة نتيجة لتراكم الجراثيم أو ما يُعرف بالبلاك على الأسنان، مما يؤدي إلى التهيج، الأحمرار، والتورم في هذه المنطقة. هذا المرض، بالرغم من أنه لا يُسبب تدميرًا مباشرًا للثة، قد يتحول إلى التهاب أشد خطورة يُعرف بالتهاب دواعم السن إذا لم يُعالج، وهذا قد ينتهي بفقدان الأسنان لدى الشخص المصاب.
اسباب التهاب اللثة
يتشكل التهاب اللثة عندما تتجمع بقايا الطعام والبكتيريا على الأسنان وداخل الفراغات بينها، مما ينتج عنه تصلب هذه البقايا وتحولها إلى ما يعرف بالبلاك، وهو طبقة دقيقة من البكتيريا تغطي الأسنان. مع الوقت، قد تتحول هذه الطبقة إلى جير، وهو أكثر صلابة ويصعب إزالته.
تواجد البلاك والجير بشكل مستمر يقود إلى تفاعلات تحفز الالتهاب في اللثة، مما ينشط الجهاز المناعي للجسم في هذه المنطقة. هذا الالتهاب يسبب تورم واحمرار اللثة، ما يعرضها لمزيد من المشاكل الصحية.
عوامل خطر الإصابة بالتهاب اللثة
يتعرض الكثيرون لمشكلات اللثة، وقد يكون ذلك ناتجًا عن عدم العناية الكافية بنظافة الفم، مما يفسح المجال لتراكم الجراثيم وزيادة فرص الالتهاب.
كما أن التغييرات الهرمونية الحاصلة في أوقات كالحمل أو المراهقة أو حتى سن اليأس تزيد من احتمالات التهاب اللثة. ومن الجدير بالذكر أن وجود صعوبات في تنظيف الأسنان بسبب الاعوجاج أو النمو الغير منتظم يمكن أن يؤدي أيضًا إلى ذلك.
من العوامل الأخرى التي تؤثر على صحة اللثة التدخين، وتناول بعض الأدوية التي قد تسهم في تدهور صحة الفم مثل حاصرات قنوات الكالسيوم، وأدوية العلاج الكيميائي، وحبوب منع الحمل، والأدوية المستخدمة في علاج الذبحة الصدرية.
أمراض مثل داء السكري ومشكلات المناعة كفيروس نقص المناعة البشري أو الأيدز، والأمراض السرطانية، أيضًا تزيد من مخاطر التهاب اللثة. كذلك، استخدام أطقم الأسنان أو التركيبات الغير ملائمة يمكن أن يساهم في هذه المشكلة.
سوء التغذية وعدم الحصول على كميات كافية من بعض الفيتامينات مثل فيتامين C وفيتامين B12 وفيتامين D وفيتامين A يعرض اللثة للخطر كذلك. بالإضافة إلى ذلك، العامل الجيني ووجود تاريخ عائلي من مشكلات اللثة يمكن أن يزيد من احتمالالتهابها.
الشيخوخة والتوتر أيضًا من الأسباب التي تؤثر على صحة اللثة، إذ يمكن أن يؤدي الإجهاد المستمر إلى صعوبات في المحافظة على نظافة فموية جيدة، مما يسهل حدوث التهابات.

أعراض التهاب اللثة
يمكن أن يبدأ التهاب اللثة دون أن يشعر المصاب بأي أعراض واضحة أو شديدة، خاصة في بدايات المرض. عند تطور الحالة، قد تظل الأعراض خفيفة وغير ملحوظة بالرغم من ازدياد الالتهاب.
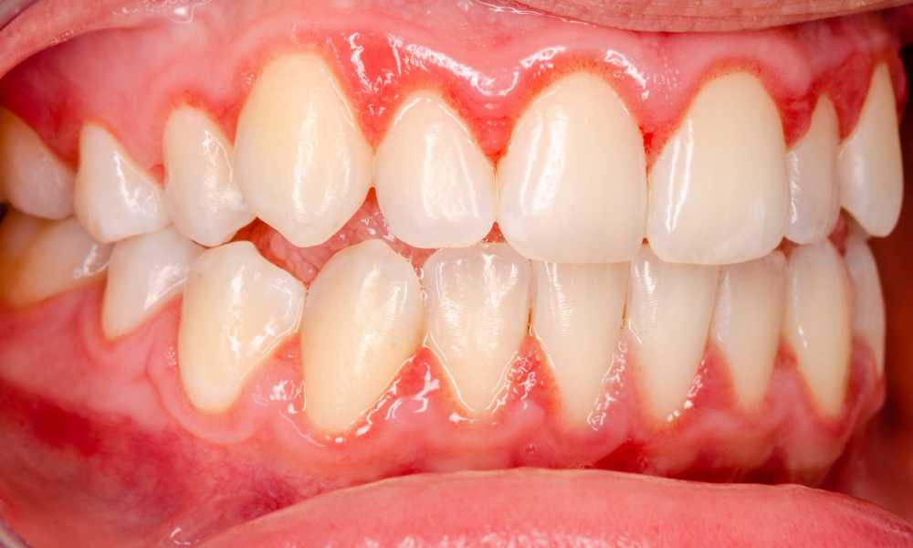
يسبب التهاب اللثة أعراضًا قد تظهر بها اللثة والأسنان على النحو التالي: يحدث نزيف في اللثة خلال تنظيف الأسنان بالفرشاة، تصبح اللثة متورمة وحمراء وحساسة للمس، ويستمر ظهور رائحة الفم الكريهة وطعم غير مستحب.
كما يلاحظ وجود فراغات غائرة بين اللثة والأسنان، وقد يؤدي الالتهاب إلى فقدان الأسنان أو تحركها من مكانها. أيضًا، يتغير موقع الأسنان مما يؤثر على كيفية تلاقيها عند إغلاق الفكين. تتأثر كذلك الأسنان الاصطناعية أو التيجان بتغيرات في المكان والتثبيت.
بهذه الطريقة، يمكن أن يظهر التهاب اللثة بأعراض متفاوتة تستدعي الانتباه للعناية المستمرة بصحة الفم والأسنان.
متى يكون التهاب اللثة خطير؟
في بعض الأحيان، يمكن أن يتطور التهاب اللثة إلى حالة أكثر خطورة تؤثر على صحة الفم بشكل عام. من أبرز هذه الحالات هي تكون القرح المؤلمة داخل اللثة نتيجة توغل البكتيريا داخل الأنسجة العميقة، مما يؤدي إلى تلف هذه الأنسجة.
كذلك، يعتبر التهاب اللثة خطيرًا عندما يسبب تآكل في العظام التي تدعم الأسنان، مما قد ينتج عنه تحرك الأسنان أو فقدانها، وهو ما يستدعي تدخلًا طبيًا فوريًا للمحافظة على صحة الفم والأسنان.
تشخيص التهاب اللثة
خلال الفحص الروتيني لصحة الفم عند طبيب الأسنان، يتعرف الطبيب على مؤشرات مختلفة تدل على التهاب اللثة. يراقب الطبيب أولاً ما إذا كانت اللثة تنزف عند الملامسة أو التنظيف. كما يبحث عن تورم يظهر في المسافات بين اللثة والأسنان؛ ويعتبر توسع هذه الجيوب وزيادة عمقها دليلاً على تفاقم حالة التهاب اللثة.
يعمل الطبيب أيضاً على تقييم مدى ثبات الأسنان وهل هناك أي تحرك غير طبيعي فيها، بالإضافة إلى فحص مستوى حساسية الأسنان. وأخيرًا، يشمل الفحص تقييم حالة عظام الفك، حيث يدقق في وجود أي دلالات على الضمور أو الهشاشة التي قد تؤثر على دعم الأسنان.
علاج التهاب اللثة
للتغلب على التهاب اللثة، ينفذ الأطباء العديد من الإجراءات العلاجية حسب حالة المريض. منها استخدام الأدوية كالمضادات الحيوية التي تأتي على شكل حبوب أو محاليل موضعية لقتل البكتيريا، مثل جرعات من المينوسيكلين أو الدوكسيسيكلين. كما يستخدم محلول الكلورهيكسيدين لتعقيم الفم، ويتوفر في صورة غسول أو رقائق تذوب داخل الفم.
إضافة إلى ذلك، يجري اتخاذ خطوات نظافة عميقة عبر جلسات تنظيف مكثفة بواسطة أدوات خاصة لإزالة البلاك والجير، حيث قد يلجأ الطبيب أيضًا لاستخدام تقنيات الليزر للتخلص من الرواسب الصلبة.
وفي حالات أشد، يمكن اللجوء إلى إجراءات جراحية مثل جراحة السديلة، والتي تتضمن تحريك اللثة للوصول والتخلص من الرواسب تحتها ثم ترميم تموضع اللثة حول الأسنان بعناية. وفي سيناريوهات متقدمة، يتم أداء جراحة ترقيع اللثة لمعالجة التأثيرات الناتجة عن التراجع الشديد للثة.
الوقاية من التهاب اللثة
يمكن الحفاظ على صحة الفم والتقليل من احتمال الإصابة بأمراض اللثة من خلال عدة ممارسات يومية بسيطة. أولاً، تنظيف الأسنان بالفرشاة ضروري لإزالة البكتيريا التي تتراكم على الأسنان، مما يقي من تشكل طبقات الجراثيم. كما يعتبر استعمال الخيط السني طريقة فعّالة لإزالة بقايا الأطعمة والجراثيم من المسافات بين الأسنان وأسفل خط اللثة.
بالإضافة إلى ذلك، ينصح باستخدام غسول الفم المضاد للبكتيريا للمساعدة في تقليل مستوى الجراثيم داخل الفم، وفقاً لتوجيهات الجمعيات الطبية المتخصصة في صحة الأسنان. هذه المنتجات تقلل من خطر تكون الجراثيم والتهابات اللثة.
أخيرًا، تحسين العادات اليومية يعد خطوة هامة للوقاية من التهاب اللثة وغيرها من الأمراض. من هذه العادات الإقلاع عن التدخين، تجنب الضغوط النفسية، المحافظة على نظام غذائي متوازن، وتفادي الضغط المفرط على الأسنان.

مضاعفات التهاب اللثة
إن إهمال معالجة التهاب اللثة قد يؤدي إلى تفاقم الحالة وتأثيرها على المناطق المجاورة مثل الأسنان والأنسجة الداعمة والعظام. من أبرز المشكلات الناتجة عن ذلك التهاب اللثة المزمن، تكون الخراجات التي قد تصل إلى عظام الفك، ظهور تقرحات باللثة، بالإضافة إلى التهاب الأنسجة الداعمة للأسنان مما قد يسبب تآكل في عظام الفك وانحسار اللثة.
ترتبط مشكلات اللثة أيضًا بزيادة خطر الإصابة بأمراض أخرى مثل أمراض الرئة والقلب والشرايين، والتي قد تشمل النوبات القلبية والسكتات الدماغية. بالإضافة إلى ذلك، قد يؤثر التهاب اللثة لدى النساء الحوامل بزيادة احتمالية الولادة المبكرة وانخفاض وزن المولود.